April is designated as “Oral Cancer Awareness Month” to promote awareness about the prevention and early detection of oral cavity cancers (cancers of the lip, oral tongue, floor of mouth, buccal mucosa, hard palate, alveolus, and retromolar trigone) and oropharyngeal cancers (cancers of the base of tongue, tonsil, oropharyngeal wall, and soft palate).

Statistics: Based on the Globocan 2022 estimates, oral cavity is 16th most common cancer globally, ranking 15th in mortality. Asia has the highest incidence and mortality of oral cavity and oropharyngeal cancers contributing to 75.1% and 53.5% mortality worldwide respectively. Oral cancer is the top-most cancer in Indian males, 4th common cancer in Indian females, and 2nd most common cancer overall, ranking 2nd in mortality.
Risk factors: Tobacco (in any form), alcohol, poor oral hygiene, low-nutritional diet, human papilloma virus (HPV) infection, are the risk factors.Oral potentially malignant disorders include proliferative verrucous leukoplakia, oral submucous fibrosis, erythroplakia, and HPV-associated dysplasia.
Prevention and early detection: It is crucial to focus on prevention as 46% of oral cancers are preventable if risk factors (mainly tobacco) are avoided, and with early detection of precancerous lesions. In addition, HPV vaccination can help prevent oropharyngeal cancer. Early detection and treatment of cancer can save life, as 5-year survival of localised oral cavity cancer is > 80%, which drops to 30-40 % with distant metastasis. 5-year survival of localised and regional oropharyngeal cancer is 59% and 62% respectively, which drops to approximately 29% with distant metastasis.
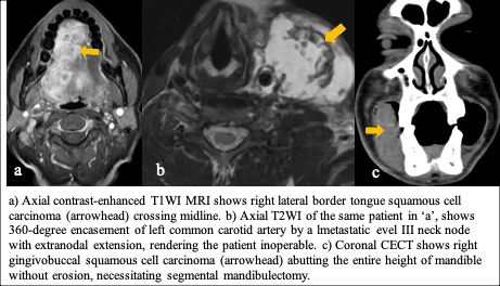
Role of imaging: Surgery is the mainstay of treatment for oral cavity cancers provided there are no contraindications on imaging. Mucosal lesions are directly visualised by the surgeons, however, the role of imaging lies in delineating the submucosal and the entire extent of the lesion, providing information on perineural spread, extent of bone involvement, degree of vessel encasement, status of cervical lymph node, and possible infiltration of prevertebral fascia. Oropharyngeal cancers, on the other hand, are usually treated with chemoradiotherapy, for which, delinating the entire extent of lesion on imaging along with staging, are crucial. However, T1/T2 non-midline cancers are amenable to transoral robotic surgery (TORS), provided there is no infiltration of superior pharyngeal constrictor muscle or parapharyngeal space, and there is no medialization of internal carotid artery.

Let us all pledge to educate all those who consume tobacco around us—be it cab-drivers, household help, friends, or relatives, about the detrimental effects of tobacco. Together, we must urge the government to ban all endorsements related to tobacco products, such as gutkha and pan masala. Let us use social media as a platform to emphasize that smoking, alcohol consumption, and chewing tobacco are not “cool.” It is crucial to disseminate this knowledge beyond hospitals and screening camps, with the aim of reaching every corner of the society, to reduce the incidence of this preventable cancer.
Blogger: Dr. Nivedita Chakrabarty, Joint Secretary, ISHNR
